Está sob escolta policial, na Fundação Hospitalar Doutor Moisés Magalhães Freire, em Pirapora (MG), no Norte do estado, um homem de 27 anos que, de saída temporária, precisou ser socorrido após vomitar embalagens comuma substância similar a maconha em um ônibus municipal, na manhã de terça-feira (11/11).
Informações levantadas pela Polícia Militar de Minas Gerais (PMMG) apontam que o homem estava a caminho da rodoviária, no bairro Cidade Jardim, acompanhado dos pais, quando começou a passar mal. Conforme os registros, ele expeliu dentro do coletivo quatro buchas doladas e embaladas em plástico transparente e precisou ser socorrido por uma equipe do Serviço de Atendimento Móvel de Urgência (Samu).
Leia Mais
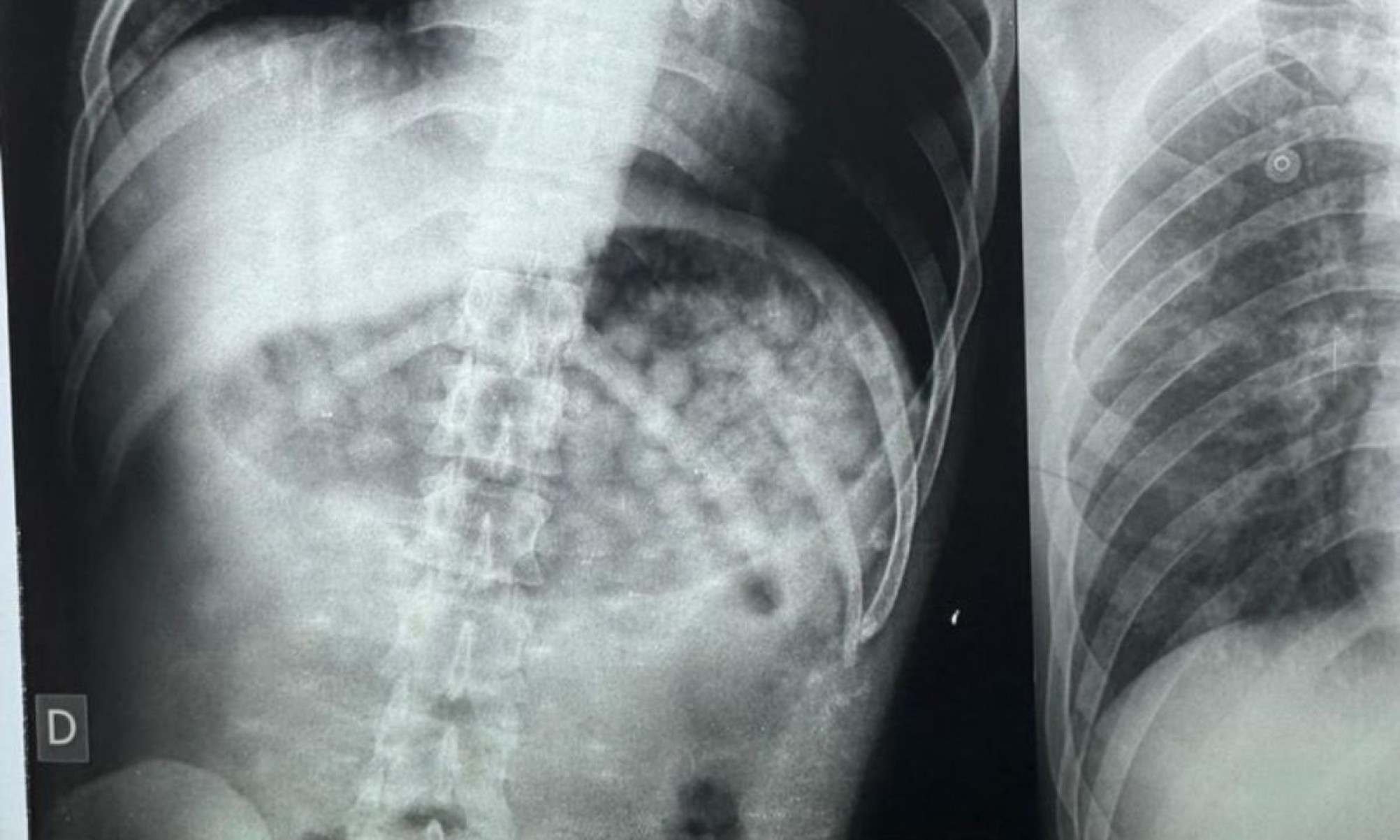
Após receber os primeiros socorros e dar entrada no hospital, foi feito um exame de raio-x que registrou uma grande quantidade de droga no corpo do homem. Segundo a equipe médica, só seria possível determinar a quantidade exata após evacuação ou cirurgia. Momentos depois, ele vomitou mais 61 embalagens com a mesma substância.
Ao todo, 61 embalagens de substância similar a maconha foram expelidas pelo homem
Aos militares, o pai do suspeito relatou que, assim que percebeu que o filho passava mal, pediu que o motorista do coletivo chamasse o Samu. Ele ainda contou que o filho estava de saída temporária do Presídio Alvorada, onde cumpre pena na cidade de Montes Claros, e a família estava a caminho da rodoviária para que o homem pudesse pegar um outro ônibus e retornar à prisão.
Segundo a sargento Rosiene, da PM de Pirapora, as circunstâncias indicam que o homem levaria a droga engolida para o presídio.
Siga nosso canal no WhatsApp e receba notícias relevantes para o seu dia
O detento, que já cumpre inquéritos policial por tráfico de drogas, furto, roubo e estupro, recebeu voz de prisão em flagrante por tráfico. No entanto, seu estado de saúde piorou e ele precisou ficar sob observação médica. Assim que receber alta hospitalar, o homem será encaminhado novamente ao presídio.
