Flipar
Pesquisa alerta: remédios para dormir podem aumentar risco de demência
-
O estudo avaliou cerca de três mil idosos sem demência por nove anos e 20% deles desenvolveram quadro de demência. Ele identificou que esse aumento do risco de demência está atrelado ao tipo e quantidade de medicamentos utilizados. Foto: stevepb pixabay -
O estudo também concluiu que indivíduos brancos têm uma probabilidade maior de ficarem com demência. Entre remédios que induzem o sono estão diazepam, zolpidem e clonazepam. Foto: Imagem gerada por i.a -
Dois casos de pessoas famosas que sofrem de demência lançaram luz sobre o perigo dessa doença que afeta não apenas o paciente , mas também tem reflexos em toda a família. Foto: Reprodução Instagram/ Renato Miranda/TV Globo/Divulgação -
Em agosto de 2023, o programa Fantástico, da Globo, revelou que o jornalista Maurício Kubrusly havia sido diagnosticado com demência frontotemporal (DFT). Ele trabalhou por 34 anos na emissora até maio de 2019. Foto: Renato Miranda/TV Globo/Divulgação -
-
A doença é a mesma que afeta o ator de Hollywood Bruce Willis, aposentado desde 2022. O drama vivido por Willis e sua família é acompanhado pelos fãs pelas redes sociais em postagens da mulher Emma , da ex-mulher Demi Moore e das filhas. Foto: - Reprodução Instagram -
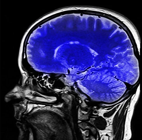
A demência frontotemporal (DFT) é uma doença neurodegenerativa que afeta regiões do cérebro e provoca perda progressiva de funções do órgão. Foto: Tânia Rêgo/Agência Brasil -
Os lobos frontais e temporais laterais são as áreas cerebrais mais afetadas.A DFT é uma condição mais rara que outros tipos de demência e a hereditariedade é um fator muito influente. Foto: - Dominio Publico/hippopx.com -
-
A doença costuma aparecer em pessoas com idade entre 45 e 65 anos. A DFT não tem cura, mas seus sintomas podem ser abrandados com uma série de medidas acompanhadas de especialistas de áreas como psicologia, fonoaudiologia e fisioterapia. Foto: Paulo Pintos/Fotos Públicas -
Os sintomas mais comuns se manifestam em comportamentos e na linguagem. Alterações de personalidade, dificuldade para controlar impulsos e perda de memória são outros efeitos. Foto: Gerd Altmann pixabay -
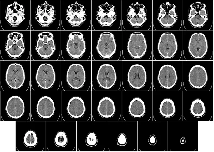
Além da avaliação dos sintomas, o diagnóstico requer exames complementares. Entre eles, tomografia e ressonância magnética. Foto: Imagem de WikiImages por Pixabay -
-
Para evitar remédios para dormir que possam comprometer a saúde , alguns alimentos e algumas ervas podem ajudar bastante a afastar o estresse, permitindo um maior relaxamento. Veja alguns eficazes. Foto: Imagem gerada por i.a -
Camomila: O chá de camomila é conhecido por suas propriedades calmantes, graças à apigenina, um antioxidante que promove relaxamento e induz o sono. Consumir uma xícara antes de dormir pode ajudar a reduzir a ansiedade e preparar o corpo para o descanso. Foto: Youtube/ Temperos da Vida -
Lavanda: O aroma da lavanda, seja em forma de óleo essencial ou chá, é eficaz para relaxar a mente e aliviar o estresse. Pesquisas mostram que ela melhora a qualidade do sono e reduz casos leves de insÎnia. Foto: Imagem de FinjaM por Pixabay -
-
Maracujá: Rico em substâncias calmantes, como a passiflorina, o maracujá é ideal para aliviar o estresse e promover uma noite tranquila. Tanto o suco quanto o chá das folhas podem ser consumidos à noite. Foto: -
Banana: Por ser rica em magnésio, potássio e triptofano, a banana ajuda a relaxar os músculos e estimular a produção de serotonina e melatonina, hormônios essenciais para o sono. Foto: -
Aveia: Contém melatonina e carboidratos de fácil digestão, que estimulam a produção de serotonina no cérebro. Consumir uma porção de aveia antes de dormir ajuda a acalmar o sistema nervoso. Foto: Divulgação -
-
Amêndoas: Além de serem uma ótima fonte de magnésio, essencial para o relaxamento muscular, as amêndoas contêm proteínas que mantêm estáveis os níveis de açúcar no sangue durante a noite. Foto: Reprodução do site blog.rodeowest.com.br/agronegocio/oportunidades-plantio-de-cacau/ -
Mel: Consumir uma pequena quantidade de mel antes de dormir estimula a liberação de melatonina e reduz a produção de orexina, um neurotransmissor ligado à vigília. Foto: Unsplash/Art Rachen -
Erva-cidreira: Seu chá tem propriedades calmantes que ajudam a reduzir o estresse e a ansiedade, promovendo um sono mais profundo e reparador. Foto: Imagem de Maria Maltseva por Pixabay -
-
Kiwis: Fonte de serotonina e antioxidantes, o kiwi é eficaz para melhorar a qualidade do sono. Comer dois kiwis à noite pode regular o ciclo circadiano e reduzir a insônia. Foto: Imagem de NoName_13 por Pixabay -
Cerejas: Contêm melatonina natural, um hormônio que regula o sono. Beber suco de cereja ou consumi-las frescas antes de dormir ajuda a melhorar a duração do sono. Foto: Frutasdeaz/Youtube -
Gengibre com limão: Este chá tem efeito calmante, reduzindo a tensão física e mental. Consumir à noite auxilia na digestão e ajuda o corpo a relaxar naturalmente. Foto: Divulgação/Receita de Vó -