Comunidade científica em alerta: aquecimento global causa espalhamento global de amebas mortais
-
A pesquisa foi liderada pelo autor Longfei Shu, da Universidade Sun Yat-sen, na China.
Foto: Wikimedia Commons/????? -
De acordo com pesquisadores das áreas ambiental e de saúde pública, esses seres unicelulares estão presentes naturalmente no solo e na água.
Foto: naipo.de/Unsplash -
Segundo os cientistas, as amebas estão se disseminando com mais rapidez em razão do aquecimento do planeta, da precarização das redes de abastecimento e da insuficiência de programas de vigilância.
Foto: Reprodução/CDC -
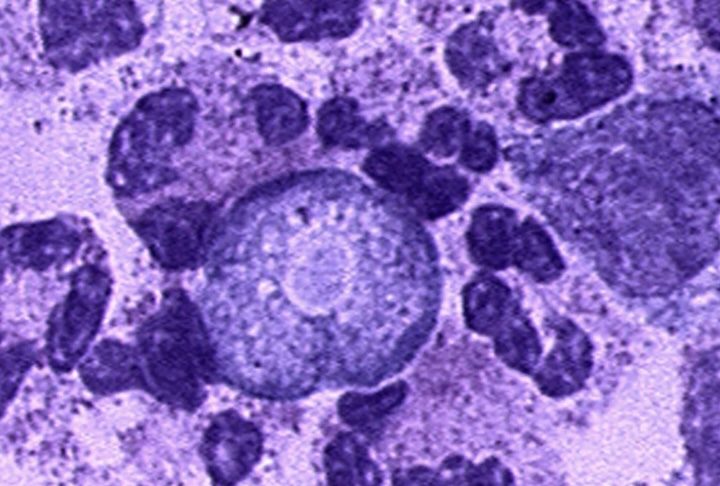
Apesar de grande parte dessas amebas não representar perigo, algumas espécies podem provocar infecções graves e frequentemente fatais.
Foto: Divulgac?a?o/Laboratory Identification of Parasites of Public Health Concern -
-
Esse organismo é responsável por uma rara inflamação cerebral que ocorre quando água contaminada entra pelas narinas, geralmente durante banhos ou mergulhos.
Foto: PublicDomainPictures/Pixabay -
Os autores também ressaltam que essas amebas podem servir de abrigo para outros agentes patogênicos, como vírus e bactérias.
Foto: Flickr - Monado -
Com isso, esses vírus e bactérias permaneceriam protegidos dos métodos tradicionais de desinfecção — fenômeno conhecido como “efeito cavalo de Troia”.
Foto: Daniel Roberts/Pixabay -
-
Tal mecanismo facilita a disseminação de doenças pelos sistemas de água potável e pode favorecer o desenvolvimento de resistência a antibióticos.
Foto: com77380/Pixabay -
“As amebas não são apenas um problema médico ou ambiental […] Elas estão na interseção de ambos, e combatê-las exige soluções integradas que protejam a saúde pública em sua origem”, pontuou Shu.
Foto: Wikimedia Commons/The Other 95%