Leucemia mieloide: entenda a doença que marcou personagem de ‘Vale Tudo’
-
Assim, o folhetim da Globo retratou os desafios médicos, emocionais e familiares de quem enfrenta esse tipo de câncer que afeta o sangue. Além de mostrar os sintomas precoces da doença.
Foto: Reprodução Instagram /@humbertocarrao -
Ao longo dos capítulos, Heleninha Roitman, irmã do personagem – vivida por Paolla Oliveira -, percebeu manchas roxas no braço de Afonso. Depois, ele se queixou de fadiga e exaustão. Por fim, houve sangramentos nasais súbitos que o levaram a procurar atendimento médico.
Foto: Reprodução Instagram /@humbertocarrao -
Após exames revelarem o câncer, Afonso foi informado sobre a necessidade de iniciar quimioterapia. A gravidade da situação o levou a raspar a cabeça preventivamente – nesta cena, é Solange, personagem de Alice Wegmann, que o fez. Ele ainda escreveu um testamento – demonstrando o impacto psicológico profundo da notícia.
Foto: Divulgação -
Essa não foi a primeira vez que um personagem de novela da Globo teve diagnóstico de leucemia. Em “Laços de Família”, de 2000, ficou muito famosa a cena em que Camila, interpretada por Carolina Dieckmann, teve a cabeça raspada devido ao tratamento quimioterápico para a doença.
Foto: Reprodução/TV Globo -
-
Na vida real, a doença tem um caso de repercussão. No dia 7 de setembro, a Igreja Católica canonizou Carlos Acutis, o primeiro santo da geração millennial. O adolescente italiano nascido na Inglaterra morreu aos 15 anos, em 2006, quando passava por tratamento de leucemia.
Foto: Reprodução do Instagram @carloacustis -
Chamado de “padroeiro da internet”, Acutis ganhou notoriedade por fazer uso da rede como canal de evangelização e produção de conteúdos sobre o catolicismo.
Foto: Reprodução do Instagram @carloacustis -
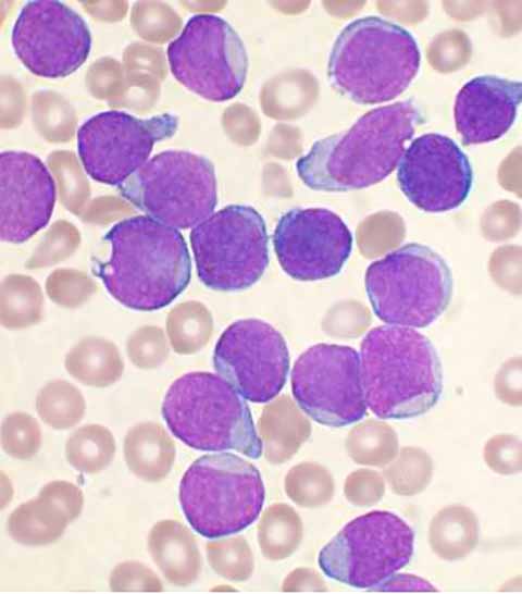
A leucemia mieloide é um tipo de câncer que tem início na medula óssea, tecido gelatinoso onde são produzidas as células do sangue.
Foto: VashiDonsk/Wikimédia Commons -
-
Nessa condição maligna, ocorre uma produção descontrolada de células imaturas da linhagem mieloide – precursoras de glóbulos vermelhos, glóbulos brancos e plaquetas – que não completam seu desenvolvimento.
Foto: Alexa Molina/Wikimédia Commons -
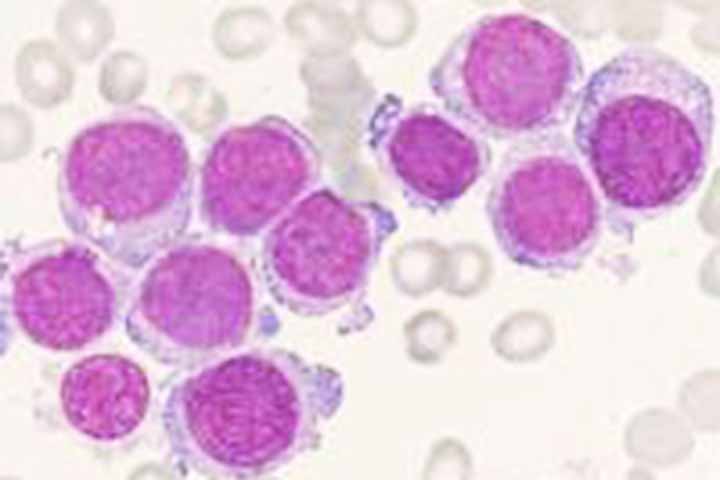
Esse acúmulo prejudica a formação das células sanguíneas saudáveis, comprometendo funções essenciais do organismo.
Foto: Divulgação -
Os sinais da leucemia mieloide podem variar, mas geralmente estão relacionados à redução das células normais do sangue.
Foto: MCSN Brian A. Stone/Wikimédia Commons -
-
Entre os mais comuns estão cansaço extremo e palidez – devido à anemia -, sangramentos e hematomas, uma consequência da queda de plaquetas.
Foto: fabioleon - Flickr -
Outros sintomas da doença são: Infecções recorrentes, pela baixa de glóbulos brancos funcionais; febre persistente, perda de peso e suores noturnos; em alguns casos, aumento do fígado, baço ou linfonodos.
Foto: EternamenteAprendiz/Wikimédia Commons -
Como os sintomas podem se confundir com os de outras doenças, é comum que o diagnóstico seja feito apenas após a realização de exames específicos.
Foto: Imagem Freepik -
-
O processo diagnóstico inclui um hemograma completo, exame que analisa os componentes do sangue. Ele pode revelar alterações importantes, como aumento de leucócitos imaturos ou redução significativa de células sanguíneas.
Foto: Imagem Freepik -
Exames mais detalhados, como mielograma, biópsia de medula óssea, testes de imunofenotipagem e análises genéticas, ajudam a confirmar o tipo de leucemia e a orientar o tratamento.
Foto: Reprodução do Flickr Universidade Federal do Ceará -
A leucemia mieloide pode se apresentar em duas formas principais: leucemia mieloide aguda, a LMA, e leucemia mieloide crônica, a LMC.
Foto: Imagem Freepik -
-
A leucemia mieloide aguda evolui de forma rápida e requer início imediato de tratamento. É mais comum em adultos, especialmente a partir dos 60 anos.
Foto: Imagem Freepik -
Já a leucemia mieloide crônica tem progressão mais lenta e está associada a uma alteração genética chamada cromossomo Filadélfia. É mais comum em adultos de meia-idade.
Foto: Imagem Freepik -
O tratamento depende do subtipo da doença, idade do paciente e condições de saúde associadas. Há opções por quimioterapia, terapias-alvo, transplante de medula óssea e terapias de suporte, que incluem transfusões de sangue, antibióticos e medicamentos de controle.
Foto: Reprodução do Flickr Universidade Federal do Ceará -
-
Os avanços no diagnóstico precoce e nos tratamentos específicos aumentaram significativamente as taxas de sobrevida, sobretudo na LMC, que pode ser controlada por muitos anos com o uso de medicamentos orais.
Foto: imagem Freepik -
Já na LMA, o sucesso depende do início rápido do tratamento e da resposta individual, mas o transplante de medula óssea continua sendo uma alternativa fundamental em muitos casos.
Foto: Tânia Rêgo Agência Brasil