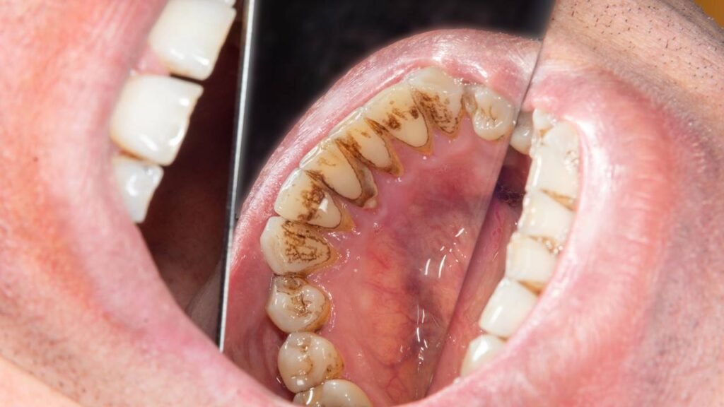
O tártaro dental é um dos problemas bucais mais comuns e está diretamente ligado ao acúmulo de bactérias na superfície dos dentes. Ele aparece quando a placa bacteriana, uma película transparente e pegajosa, não é removida de forma adequada no dia a dia. Com o tempo, essa camada vai se mineralizando pela ação de substâncias presentes na saliva, endurece e passa a formar depósitos visíveis junto à gengiva, podendo favorecer inflamações e doenças periodontais.
O que é tártaro dental e por que ele causa preocupação

A palavra-chave central aqui é tártaro dental, termo usado para definir a placa bacteriana que se calcificou sobre os dentes. Esse material endurecido adere com força ao esmalte e ao contorno gengival, criando uma superfície irregular que favorece ainda mais a retenção de novas bactérias.
Em muitos casos, o tártaro se acumula não apenas na parte visível dos dentes, mas também abaixo da linha da gengiva, onde o acesso da escova é menor. Esse cenário favorece inflamação gengival, mau hálito persistente e, em fases avançadas, retração da gengiva e perda de suporte ósseo.
Como o tártaro dental se forma a partir dos biofilmes
A formação do tártaro dental começa com os chamados biofilmes, que são comunidades de microrganismos organizadas em uma espécie de “rede” aderida à superfície dos dentes. Em ambiente úmido, como a cavidade bucal, essas bactérias utilizam nutrientes da alimentação, especialmente açúcares, para se multiplicar.
Quando a placa não é removida com fio dental e escovação adequados, minerais presentes na saliva, como cálcio e fosfato, passam a se depositar sobre essa estrutura. O resultado é uma camada endurecida, amarelada ou acastanhada, perceptível principalmente na região próxima às gengivas e na parte interna dos dentes inferiores.
Leia mais: Poucas pessoas sabem o que significa colocar dentes de alho ao redor das plantas do jardim
Quais fatores favorecem o acúmulo de tártaro dental
Alguns hábitos do dia a dia aumentam a chance de formação de tártaro nos dentes. Alimentação rica em açúcar, ingestão frequente de alimentos pegajosos e consumo constante de bebidas ácidas criam um ambiente favorável para bactérias que produzem ácidos.
Entre os fatores mais associados ao tártaro, destacam-se comportamentos e condições que interferem na limpeza natural da boca e na qualidade da placa bacteriana:
- Escovação irregular ou inadequada, especialmente à noite;
- Uso esporádico ou ausência de fio dental;
- Fluxo salivar reduzido, que dificulta a limpeza natural da boca;
- Tabagismo, que altera a composição da placa e mancha o tártaro;
- Dieta rica em carboidratos fermentáveis e bebidas açucaradas.
Como prevenir e controlar o tártaro dental no dia a dia
A prevenção do tártaro dental passa por higiene cuidadosa, com escovação correta, uso diário de fio dental e atenção às regiões próximas à gengiva. Produtos específicos para controle de placa, como cremes dentais com agentes antimicrobianos e enxaguantes indicados pelo dentista, podem ajudar a reduzir os biofilmes. Confira mais dicas no vídeo a seguir:
Algumas substâncias vêm sendo estudadas por interferirem na aderência bacteriana, como o xilitol e compostos de origem vegetal, a exemplo de extratos de alecrim, tomilho, cravo, alho, canela e óleo de orégano. Medidas caseiras com bicarbonato de sódio e uso controlado de peróxido de hidrogênio, sempre sob orientação profissional, podem complementar a higiene mecânica.
Leia mais: Clarear os dentes com carvão ativado faz mal?
Quando o tártaro dental exige intervenção profissional
Uma vez formado, o tártaro dental não é removido de forma eficaz apenas com escova e fio dental. Nesses casos, a limpeza profissional, conhecida como profilaxia ou raspagem, torna-se necessária, utilizando instrumentos manuais ou ultrassônicos para retirar a placa endurecida, inclusive abaixo da linha gengival.
Após a remoção, o dentista orienta sobre técnicas de escovação, tipo de escova mais adequado e frequência de retorno. Consultas regulares, geralmente a cada 6 ou 12 meses, redução do consumo de açúcar, boa hidratação e atenção a sinais como sangramento gengival e mau hálito persistente ajudam a manter a gengiva estável e a minimizar o acúmulo de novos depósitos mineralizados.




