Mulher dormindo

Mulher dormindo

Freepik/Divulgação

 
Mulheres dormem menos que homens

Mulheres costumam ter 40% mais insônia do que os homens. Segundo o especialista em medicina do sono pela Associação Brasileira de Medicina do Sono (ABMS), Gleison Guimarães, estudos indicam que as mulheres tendem a dormir menos horas quando estão na TPM, além de acordarem três vezes mais durante a noite em relação às outras fases do ciclo menstrual. Fatores como consumo de cafeína, álcool e cigarro também agregam para uma pior noite sono. Problemas médicos também podem impedir as mulheres de dormir bem como: refluxo ácido, artrite, dores articulares, dor nas costas, fibromialgia, asma, epilepsia, esclerose múltipla e mal de Parkinson, além de distúrbios de sono como insônia, ronco, apnéia do sono, síndrome das pernas inquietas (SPI), transtorno alimentar relacionado ao sono (SRED) e transtorno de pesadelo.
 
doenças raras

doenças raras

Gladyston Rodrigues/EM/D.A Press
 
 
UFMG cria laboratório 
para doenças raras

Está em desenvolvimento o único laboratório do Brasil para terapias de doenças raras no Instituto de Ciências Biológicas (ICB) da UFMG. O espaço tem como objetivo a produção de medicamentos feitos por terapia genética de condições como, por exemplo, a síndrome de Dravet. O recente projeto propõe uma plataforma biotecnológica, financiado com cerca de R$ 2 milhões, promovido pela Finep Inovação e Pesquisa, empresa vinculada ao Ministério da Ciência, Tecnologia e Inovação (MCTI). De acordo com Vinícius Toledo Ribas, professor do departamento de Morfologia do ICB, além de auxiliar financeiramente os tratamentos que precisam ser importados, a plataforma funcionará como celeiro para formação de recursos humanos nessa área.  
 
cirurgia plástica

cirurgia plástica

Ronstik
 
 
Congresso de 
cirurgia plástica

A Sociedade Brasileira de Cirurgia Plástica - regional Minas Gerais (SBCP-MG), em parceria com o Hospital Universitário de Pouso Alegre, realiza, nos dias 17 e 18, o 13ª Congresso Sul Mineiro de Cirurgia Plástica, no Sul de Minas. Restrito a profissionais e residentes da área, o congresso é uma oportunidade para que especialistas renomados da área possam compartilhar os resultados de pesquisas científicas e avanços, ampliando o diálogo entre os cirurgiões plásticos de diferentes regiões de Minas. Informações: sbcpmg.org.br. 
 
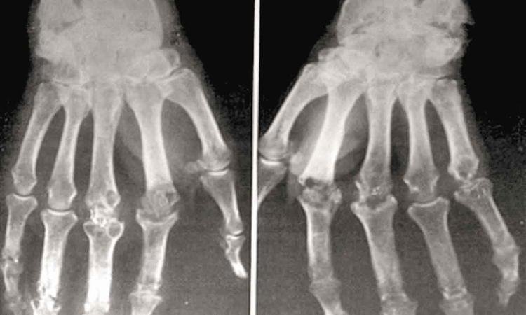
Artrite psoriásica

Artrite psoriásica

Reprodução
 
 
Artrite psoriásica: Como tratar?

Estimativas indicam que cerca de 50 milhões de pessoas têm diagnóstico de artrite psoriásica por todo o mundo. A doença se manifesta em diversos órgãos do corpo, articulações e pele, causando dor, fadiga, rigidez nas articulações e descamações. Segundo Marcelo Pinheiro, membro da Comissão de Espondiloartrites da Sociedade Brasileira de Reumatologia, a artrite psoriásica causa prejuízos na qualidade de vida dos pacientes. Com isso, é importante o diagnóstico precoce e o tratamento correto, que pode variar de acordo com o sistema imunológico. 
 
Implante dentário é 
destaque internacional

Implante cerâmico é resultado de projeto da Neodent desenvolvido por pesquisadores da Alemanha, Suíça e Brasil em evento chamado International Dental Show. A empresa participa do evento junto ao grupo Straumann, marca global da qual faz parte, com o projeto chamado Zi (Neodent Ceramic Implant System). O evento, que será de 14 a 18 deste mês, reunirá os principais players mundiais de produtos do mercado odontológico e tecnologia dental com mais de 2 mil expositores de 65 países.